+

Emax

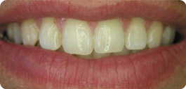
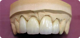
IPS e.max is a lithium disilicate glass ceramic that has optimized translucency, durability and strength for full anatomical restorations. Due to the use of new technologies and optimized processing parameters, IPS e.max lithium disilicate has evolved beyond previously available lithium disilicate ceramics.

IPS e.max lithium disilicate restorations exhibit superior durability featuring 360-400 MPa of flexural strength. When fabricated to full-contour, the monolithic structure is the most robust ceramic system tested to date. The opalescence, translucency and light diffusion properties of IPS e.max lithium disilicate were all designed to replicate natural tooth structure for beauty and undetectable restorations.

Suitable for veneers,inlays/onlays ,single crowns and anterior bridges.They can be cemented or bonded.

IPS e.max®

Opening Hour
Mon - Fri 8.30-15.30 Saturday & Sunday - Closed
Get best Health Checkup in patholab